Connaissez vous l’hystérosonographie et l’HyFoSy ?
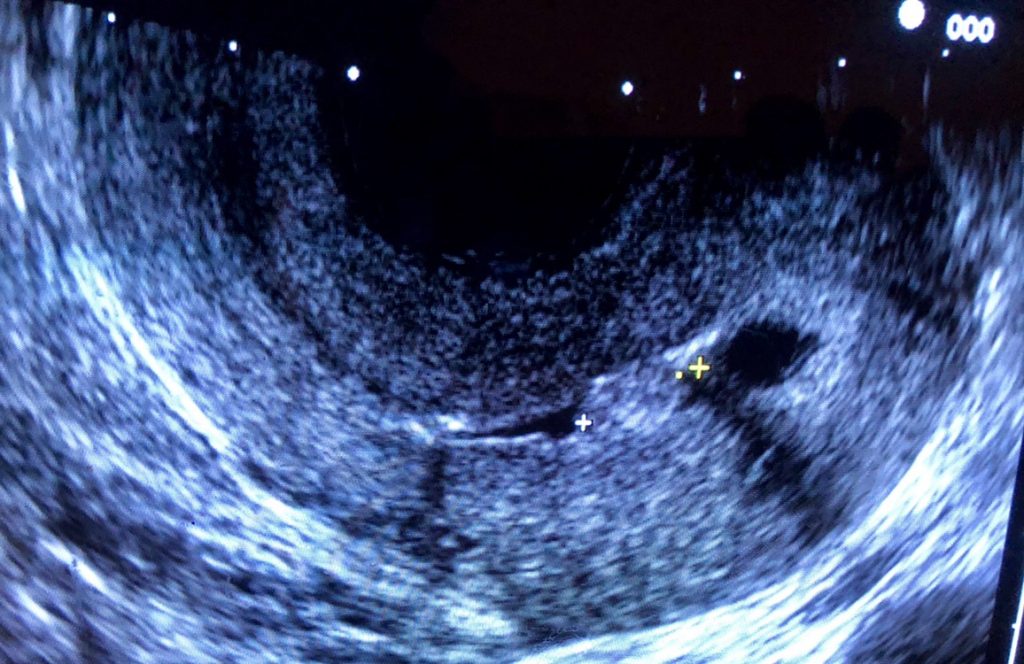
L’hystérosonographie est un examen échographique permettant de mieux explorer la cavité utérine qu’une échographie classique. Elle consiste à introduire du liquide physiologique à l’intérieur de l’utérus par un cathéter introduit par le col et à faire l’échographie pendant l’injection du liquide physiologique. La présence du liquide dans la cavité utérine va permettre ainsi une meilleure visibilité de la paroi et montrer d’éventuelles pathologies comme un polype ou un des adhérences…